Skip to content
ZAKAŽI TERMIN
Početna
Dentalna poliklinika
Dentalne usluge
Dentalni turizam
Zadovoljni pacijenti
Naši radovi
Savjeti
Kontakt
Početna
Dentalna poliklinika
Dentalne usluge
Dentalni turizam
Zadovoljni pacijenti
Naši radovi
Savjeti
Kontakt
Dentalni turizam
Dentalni turizam u Sarajevu
All inclusive stomatološko liječenje
Neophodne informacije
Implantologija
Hollywood smile
Perfect smile by Bandić (Aligner)
Dentalni turizam
Dentalni turizam u Sarajevu
All inclusive stomatološko liječenje
Neophodne informacije
Implantologija
Hollywood smile
Perfect smile by Bandić (Aligner)
+387 (0)33 642-648
[email protected]
[email protected]
Zakaži besplatan pregled
Karijera
+387 (0)33 642-648
[email protected]
[email protected]
Zakaži besplatan pregled
Karijera
MENU
Facebook-square
Instagram
Tiktok
Linkedin-in
Threads
Youtube
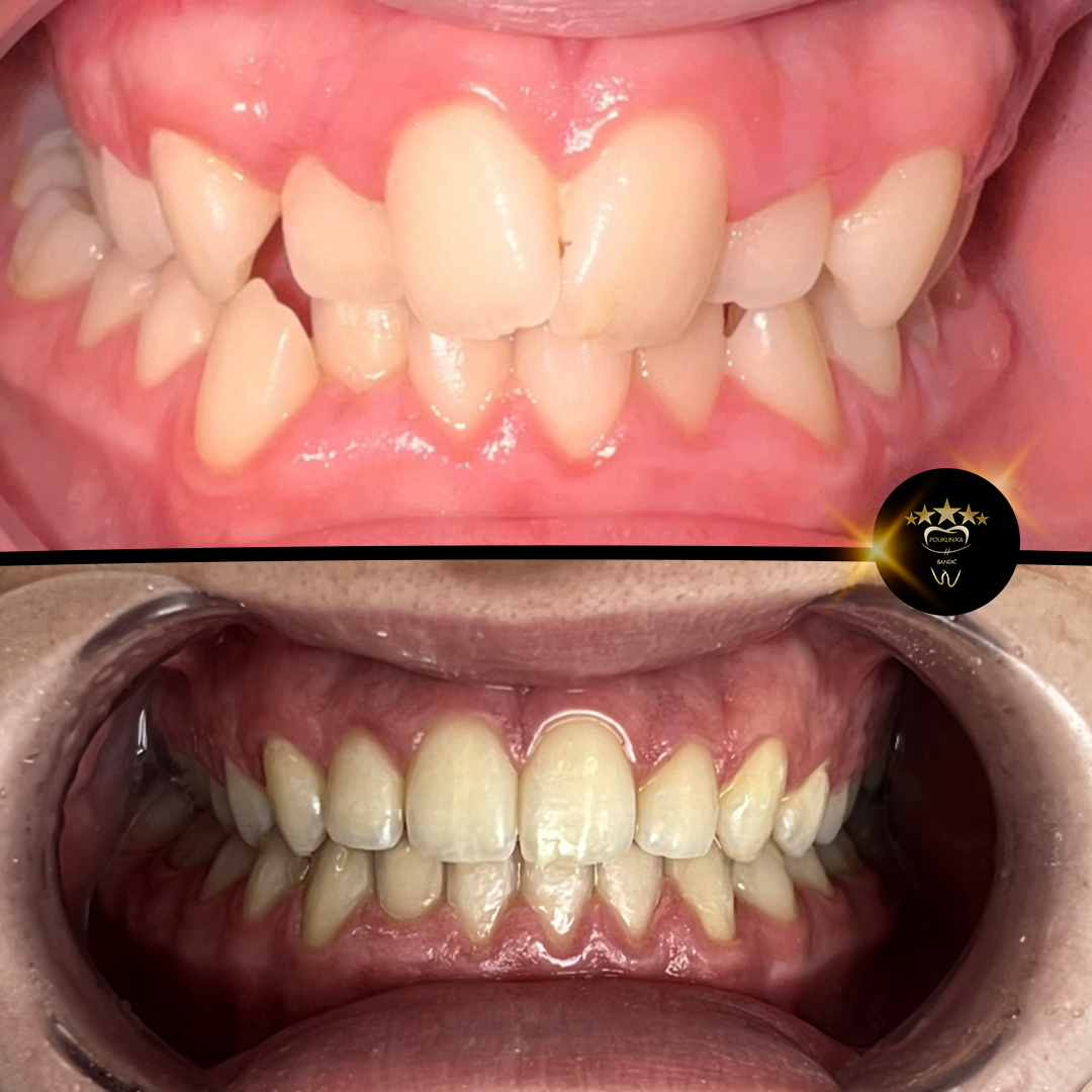
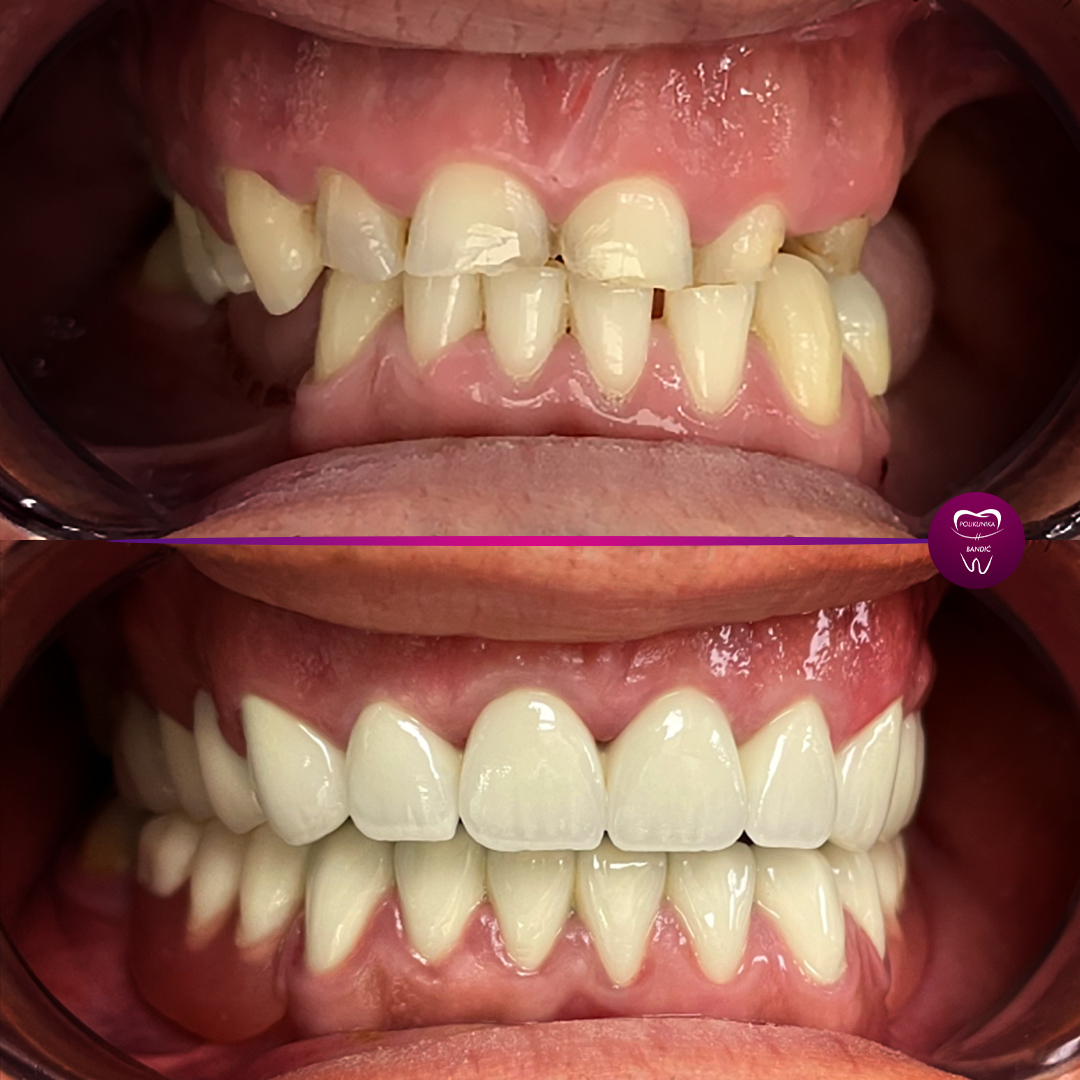
NAŠI RADOVI
Bosnian
English
Bosnian
Početna
Dentalna poliklinika
Upoznajte polikliniku u 3D
Savjeti
Dentalne usluge
Konzervativna stomatologija
Estetska stomatologija
Endodoncija
Ortodoncija
Implantologija
Implantološka protetika
Stomatološka protetika
Parodontologija i oralna medicina
Dentalna radiologija
Oralna hirurgija
Dentalni laser
Dječija stomatologija
Savjeti
Zadovoljni pacijenti
Naši radovi
Kontakt
Facebook-square
Instagram
Tiktok
Linkedin-in
Twitter
Youtube
WhatsApp
Viber